
기흉은 폐의 표면이 찢어져 공기가 흉강으로 새어나가는 상태로, 갑작스러운 가슴 통증과 호흡 곤란을 유발할 수 있는 응급 상황입니다. 적절한 응급처치를 통해 기흉의 악화를 방지하고, 신속하게 의료 도움을 받는 것이 중요합니다.
1. 기흉 발생 시 응급처치 방법
1) 기흉의 주요 증상 인식하기
기흉의 주요기흉의 증상을 빨리 인식하는 것이 응급처치의 첫 단계입니다. 주요 증상으로는 갑작스러운 가슴 통증, 호흡 곤란, 숨 쉴 때 악화되는 통증, 그리고 가슴의 팽창감 등이 있습니다. 통증은 보통 한쪽 가슴에서 시작되며, 호흡 곤란은 점차 심해질 수 있습니다. 이러한 증상을 경험한다면 즉시 휴식을 취하고, 추가적인 활동을 피해야 합니다. 증상이 심각할 경우, 즉시 119에 연락해 응급의료 서비스를 요청해야 합니다.
2) 환자의 자세와 호흡 관리
기흉 발생 시, 환자가 어떻게 자세를 취하는지도 중요합니다. 환자는 앉거나 반쯤 기대는 자세를 취하는 것이 좋습니다. 이는 폐의 압력을 줄이고 호흡을 좀 더 쉽게 도와줄 수 있습니다. 환자가 편안하게 호흡할 수 있도록 도와주는 것이 중요합니다. 옷이 너무 꽉 조이지 않도록 하고, 가능한 한 안정된 환경을 유지해야 합니다. 환자가 심한 호흡 곤란을 겪고 있다면, 인공호흡이나 심폐소생술(CPR)을 고려해야 할 수도 있습니다. 그러나 이러한 처치는 응급 상황에서 전문가의 지시에 따라 진행하는 것이 안전합니다.
3) 신속한 의료 지원 요청
기흉은 응급 상황이므로, 증상이 의심될 때는 즉시 병원으로 이송하는 것이 중요합니다. 119에 전화하여 상황을 설명하고, 환자의 상태를 상세히 알리는 것이 필요합니다. 구급대원이 도착하기 전까지 환자를 안정시키고, 무리한 움직임을 피하도록 합니다. 환자가 의식이 있는 경우, 차분하게 환자의 상태를 확인하고, 숨 쉬는 것을 도와주는 것이 중요합니다. 의료진이 도착하면, 신속한 응급 치료를 받을 수 있도록 환자를 잘 인계해야 합니다.
2. 기흉의 재발 가능성
1) 기흉의 재발률
기흉의 재발률은 상당히 높은 편입니다. 특히, 자발성 기흉을 한 번 경험한 환자들의 경우 약 30%에서 50%가 재발을 경험할 수 있습니다. 재발은 첫 기흉이 발생한 후 몇 개월에서 몇 년 이내에 발생할 수 있으며, 첫 번째 기흉이 발생한 쪽 폐에서 다시 발생하는 경우가 많습니다. 재발률은 개인의 건강 상태, 기저 질환 여부, 생활 습관 등 다양한 요인에 의해 영향을 받을 수 있습니다. 예를 들어, 만성 폐질환을 앓고 있는 환자나 흡연자는 기흉이 재발할 가능성이 더욱 높아집니다.
2) 기흉의 주요 원인
기흉의 재발 원인은 다양합니다. 그 중 가장 큰 원인은 폐의 구조적 결함입니다. 특히, 폐에 작은 기포(blebs)나 낭종(cysts)이 있는 경우, 이들이 파열되면서 기흉이 재발할 가능성이 큽니다. 또한, 흡연은 기흉 재발의 중요한 위험 요소입니다. 담배 연기는 폐포를 손상시켜 기흉 발생을 촉진할 수 있습니다. 이 외에도, 기흉을 일으킨 근본적인 폐질환(예: 만성 폐쇄성 폐질환, 폐기종 등)이 있는 경우에도 재발할 가능성이 높습니다. 이와 같은 요인들은 모두 기흉 재발률을 증가시키는 요인으로 작용합니다.
3) 기흉의 재발 방지 방법
기흉의 재발을 방지하기 위해서는 몇 가지 예방 조치를 취하는 것이 중요합니다. 가장 중요한 예방책 중 하나는 금연입니다. 흡연은 기흉 재발률을 높이는 주요 원인이므로, 기흉을 경험한 후에는 반드시 금연해야 합니다. 또한, 폐 건강을 유지하기 위해 적절한 운동을 하고, 폐 기능을 손상시킬 수 있는 환경(예: 공해, 유해 화학물질)을 피하는 것이 좋습니다. 만약 기저 폐질환이 있다면, 이를 적절히 관리하고 치료하는 것이 중요합니다. 의료진과 상담하여 폐 기능을 개선하는 약물 치료나 재활 프로그램을 고려할 수 있습니다. 정기적인 건강 검진을 통해 폐 상태를 모니터링하고, 필요한 경우 조기 치료를 받는 것도 재발 방지에 도움이 됩니다.
3. 기흉의 단계별 회복 기간과 관리 방법
기흉의 회복 기간은 환자의 상태와 치료 방법에 따라 다르지만, 일반적으로 초기 회복 단계(1-2주), 중기 회복 단계(2-4주), 그리고 장기 회복 및 예방 단계로 나눌 수 있습니다.
1) 기흉의 초기 회복 단계
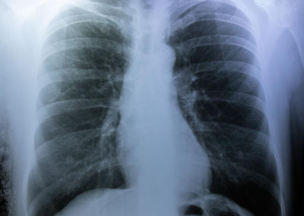
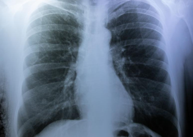
기흉이 발생하면 병원에서 적절한 치료를 받는 것이 중요합니다. 경미한 기흉의 경우 산소 치료와 함께 자연적으로 회복될 수 있습니다. 이 경우 회복 기간은 대개 1-2주 정도입니다. 그러나 심한 기흉은 흉관 삽입술이나 흉강경 수술(VATS)이 필요할 수 있습니다. 이러한 수술 후 초기 회복 기간은 대개 3-7일 정도입니다. 병원에서는 환자의 상태를 모니터링하고, 흉부 X-ray 등을 통해 폐의 재확장 여부를 확인합니다. 초기 회복 단계에서는 환자가 무리한 움직임을 피하고, 충분한 휴식을 취하는 것이 중요합니다.
2) 중기 회복 단계
기흉 치료 후 병원을 퇴원하면 중기 회복 단계가 시작됩니다. 이 기간은 대개 2-4주 정도로, 환자는 일상 생활로 서서히 복귀할 수 있습니다. 그러나 무리한 신체 활동은 피해야 하며, 특히 흉관 삽입이나 수술을 받은 경우 상처 부위의 회복을 위해 추가적인 주의가 필요합니다. 운동은 가벼운 걷기부터 시작하여 점차적으로 강도를 높이는 것이 좋습니다. 이 시기에는 폐 기능을 회복하고 강화하기 위해 호흡 운동과 폐 재활 프로그램을 고려할 수 있습니다. 또한, 정기적인 의료 검진을 통해 회복 상태를 점검받는 것이 중요합니다.
3) 장기 회복 단계
장기 회복 단계에서는 기흉의 재발을 방지하고, 폐 건강을 지속적으로 관리하는 것이 중요합니다. 이 단계에서는 기흉의 재발을 방지하고 지속적인 폐 건강 관리를 위해 금연과 정기적인 검진이 필수적이며 이러한 과정을 통해 기흉의 회복을 효과적으로 관리하고, 건강한 생활을 유지할 수 있습니다.
기흉은 한 번 발생하면 재발 가능성이 높은 질환입니다. 재발률을 낮추기 위해서는 폐의 구조적 결함, 흡연, 기저 폐질환 등 주요 원인들을 철저히 관리해야 합니다. 금연, 적절한 운동, 정기적인 건강 검진 등 예방 조치를 통해 기흉의 재발을 효과적으로 방지할 수 있습니다. 기흉을 경험한 사람들은 의료진과 긴밀히 협력하여 폐 건강을 유지하고, 재발 방지를 위한 최선의 방법을 찾는 것이 중요합니다.